- 芦屋で20年以上の実績
- 経験豊富な医師が多数在籍
- 顎咬合学会認定医
- JR芦屋駅からのアクセス良好
インビザラインで、自然な美しさを手に入れましょう。
いつでも、どこでも、自信のある笑顔を。
当院は
プラチナエリート・
プロバイダー
です
インビザラインでの治療は、経験や実績、技術力が大きく関わってきます。当院は、年間一定数以上のインビザラインの治療実績が認められ「プラチナエリート・プロバイダー」という認定を受けています。
当院の強み 安心を重視した インビザライン治療

機能面と見た目を両立した
安全・安心な治療が可能
インビザラインはドクター選びが大切です。当院では日本矯正歯科協会と日本顎咬合学会に所属する医師が治療を担当します。日本顎咬合学会の咬み合わせ認定医が在籍しているので、機能性と見た目の両方を改善する安全・安心で健康的な矯正治療をご提供できます。

通院毎の費用はなし!
安心して通えます
医院によっては、通院のたびに治療費(3,000~5,000円程度)を支払わないといけない医院もあります、当院はトータルフィーのため、通院毎の費用は不要なので「毎回、追加費用があるかも…」と心配することはありません。

矯正治療の経験年数の
豊富な医師が多く安心
理事長は矯正治療において20年以上の経験があり。また、10年以上の矯正治療の経験がある医師も複数在籍しています。もちろん経験だけではなく、常に新しい知識や技術の習得・研鑽も行っております。豊富な経験と深い知識を活かし、患者様の理想を実現いたします。

大型総合歯科医院なので安心
大型総合歯科医院なので、患者様のお口の中を総合的に診ることができます。通常、矯正専門クリニックでは矯正治療だけ行い、他の治療は別の歯科医院で行います。その点、当院では矯正だけではなく、虫歯や歯周病、インプラント、ホワイトニングなど、当院だけですべて完結できるので安心して通院できます。

じっくりと説明をするので安心
治療を行う前にしっかりと時間をかけ、丁寧なカウンセリングと説明を行います。満足いく治療結果を得るためには、患者様の信頼を得る事と治療に対するご協力が何よりも重要だからです。理想を共有したうえで一緒にゴールを目指していきます。

治療保証制度があるので安心
満足いただける治療をご提供するため、「治療保証制度」を導入しています。保証期間中であれば、見た目や機能性などご満足いただけるまで、追加費用はいただかずに治療をお受けいただけます。

駅からアクセス良好、
土日診療のため通いやすく、安心
2院ともJR芦屋駅からのアクセスが良く、また休診日は祝日のみで土日も診療しています。「平日は仕事や学校がある…」という方も、安心してご来院いただけます。

転院する場合も
返金制度があるので安心
転院希望の場合は治療の進行状況に応じた返金制度を採用しております。 また、転居が伴う場合は転居先に近いクリニックを探すお手伝いもいたします。
治療費の紹介
追加費用なしのトータルフィー制です。
トータルフィー制とは、下記に提示する金額のみを確約した費用の提示方法です。
追加費用は発生しないので、安心して通院できます。
ご相談・iTero(口腔内スキャナー)、
治療シミュレーション
無料
検査料金
35,000円
(38,500円税込)
装置料金
(部分矯正~軽度)
ライト
400,000円
(440,000円税込)
装置料金
(軽度~中等度)
モデレート
600,000円
(660,000円税込)
装置料金
(中等度・重度)
コンプリヘンシブ
800,000円
(880,000円税込)
管理料・リテーナー料
0円
毎回の管理料や治療後の保定装置が、
別に費用がかかる医院もあります。
当院ではどちらも
装置料金に全て含まれています
のでご安心ください。
※リテーナー料は初回のみ。
電子マネー
対応
対応
その他、各種お支払いにも対応
たくさんあってうれしい
4つの無料特典
01
初回相談・
カウンセリング
02
ホワイトニングプレゼント
03
加速装置プレゼント
04
保定料金込み
加速装置:110,000円
+ 保定装置:33,000円
+ ホワイトニング液1本:5,500円
約15万円相当お得!
各種クレジットカード・
電子マネー

インビザラインの費用はVISAカードを始め、各種クレジットカード、電子マネーにてお支払いいただけます。
デンタルローンでのお支払い例
4,289円~(税込)/月
インビザライン(ライト)
120回払いの場合
ご希望に合わせた回数にて分割払いをご利用いただけます。
※利用には審査があります。
矯正治療は
医療費控除の対象です。
矯正治療は医療費控除の対象です。
なお、デンタルローンにてお支払いいただいた場合も、医療費控除の対象とすることが可能です。
他院で治療中の方への
割引制度あり。
他院で治療中で、当院へ転院希望の方には、
治療の進捗状況に応じた割引制度を設けています。
詳細希望の方はまずはお問い合わせください。
無料カウンセリング実施中
- 050-1881-4888(本院)
- 050-1881-4889(JR駅前院)
- お問い合わせフォーム
- \矯正歯科医師が直接お答えします/LINEで予約・相談
インビザライン治療に
求めていることはなんでしょうか?
当院がインビザライン治療で、
一番大切にしているのは
「安心を提供する」という事です。
そのために、8つの安心できるポイントをご説明いたしました。
矯正治療を検討中の方にとっては、費用の安さ、医院の通いやすさ、ドクターの技術など、求めるものは人それぞれだと思います。
また、インビザラインでの矯正を行う歯科医院はたくさんあり、
どこの医院で治療するか、悩んでいる方も多くいらっしゃると思います。
そんな方は一度、矯正治療を行っている未来の自分の姿を想像していただきたいです、
色んな不安が出てくるのではないでしょうか?
そうなると、やはり「安心」して毎回治療を受けられ、最終的に満足いく歯並び・かみ合わせになることが一番大切な事のような気がしませんか?
当院は患者様が「安心して治療」を受けられる体制・環境作りをこれからも進めていきます。
素敵な笑顔で明るく輝く未来をつくるために、ぜひ私たちにお手伝いをさせてください。
Trouble
こんなお悩みありませんか?
- 矯正していることを知られたくない
- 矯正中も楽しく食事をしたい
- 矯正治療はいくらかかるのか分からない
- 痛い治療はしたくない
- ワイヤー矯正だと金属アレルギーが心配
- 何度も通院するのは嫌だ
- いまさら矯正しても遅いのではないか…
悪い歯並び を 放っておく危険性

01 顎や顔の形を歪ませる
噛み合わせが悪い状態が続くと、顎の骨に負担がかかり、変形する可能性があります。その結果、顔の骨格が歪みなどの見た目の悪化や、発音が悪くなるなどの機能面に悪影響が出る恐れがあり危険です。
02 虫歯・歯周病リスクが高まる
歯並びの乱れがお口の病気を引き起こします。歯と歯が重なっていれば食べかすが溜まりやすくなりますし、隙間があると磨き残しやすくなります。その結果、お口の中で細菌が増殖しやすくなり、虫歯・歯周病を引き起こす恐れがあるのです。
03 しっかり噛めず胃腸に負担がかかる
噛み合わせが乱れると、食べ物を効率よく噛みくだくことができません。食べ物を十分に噛み切ったりすり潰したりできず、固形のままで食べ物を飲み込めば、胃腸には多大な負担がかかります。その結果、全身の健康にも悪影響を及ぼす恐れがあります。

マウスピース型矯正 インビザラインとは
マウスピース型矯正インビザラインなら、「矯正したいけど、金属の装置が目立つのが嫌だ」といった理由で矯正治療をためらう方も、安心して治療できます。インビザラインは、薄く透明な専用素材でできたマウスピース型の矯正装置で、装着してもほとんど目立ちません。食事やブラッシングの際には取り外せるので、普段どおりにお食事を楽しめて、しっかりブラッシングできます。
インビザラインは、マウスピース型矯正装置を1日20時間ほど装着し、一定期間ごとにマウスピースを取り替えて歯を動かすシステムです。目立たないことはもちろん、装着時の違和感や痛みがほとんどなく、歯を整えられます。
人に知られずに理想の歯並びを目指すなら、マウスピース型矯正のインビザラインをお試しください。
POINT 01
目立たない、
取り外し可能
目立たない、取り外し可能
インビザラインで使用するマウスピース型装置は、薄く透明な専用素材でできています。そのため、装着時に目立ちにくく、違和感もほとんどありません。いつでも自由に取り外せますので、快適に矯正治療を続けられます。
POINT 02
取り外せるので、
衛生的
取り外すことができるので衛生的
マウスピース型装置は、食事・歯ブラシの時に取り外すことができます。そのため、お食事の制限がなく好きなものを食べられて、快適にお楽しみいただけます。ブラッシング時も取り外せますので、隅々まできれいに磨けて衛生的です。
POINT 03
痛みが少なく、
負担が少ない
痛みが少なく、負担が少ない
インビザラインは、マウスピースを事前にまとめてお渡しし、患者様ご自身で一定期間ごとに取り替えるシステムです。そのため通院回数が少なく済みます。また、痛みも少ないため、患者様への負担も少ないのが特長です。
POINT 04
1500万人の
データに基づいた治療
1,500万人のデータに基づいた治療
マウスピース型矯正のインビザラインは、全世界でおよそ1,500万人を超える方が実践している矯正治療法です。安全性や矯正効果は数多くの臨床データに裏付けされていますので、安心して治療をお受けいただけます。
あなたに合った矯正は? インビザラインと他の マウスピース矯正との違い

| インビザライン | ほかのマウスピース矯正 | |
|---|---|---|
| 正確性・ 再現性 |
世界の臨床データを元に治療計画を作成します とても高い精度を誇ります | 歯科技工士の技量に左右されます |
| 歯型の 採取 |
一連のマウスピースを1回の歯型採取で作製します | 2週間~1ヶ月に1回の採取が必要です |
| 来院間隔・ 来院期間 |
検査後に治療期間が決定します およそ2ヶ月に1回の通院です | 治療期間の予想が難しい場合がほとんどです 2週間~1ヶ月に1回の通院が必要です |
| 治療費用 | 定額制です 治療開始前に治療にかかる全額が分かります | 毎回、処置料がかかります 治療が終了するまで治療の総額が分かりません |
無料カウンセリング実施中
- 050-1881-4888(本院)
- 050-1881-4889(JR駅前院)
- お問い合わせフォーム
- \矯正歯科医師が直接お答えします/LINEで予約・相談
症例紹介
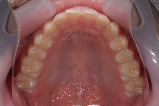
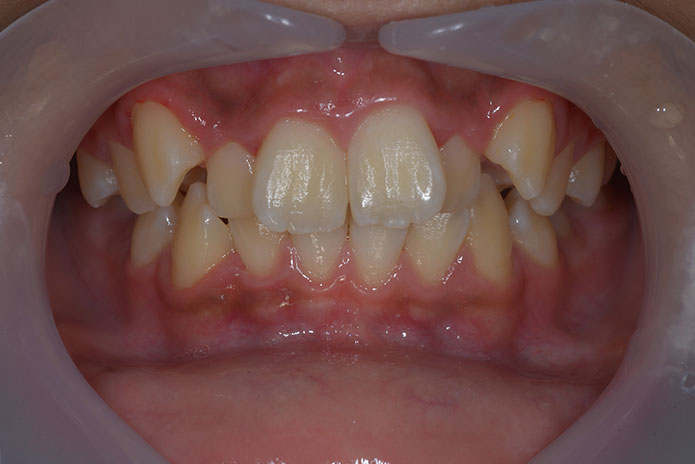
CASE 1
治療前
治療後
年齢/性別
21歳/男性
主訴
前歯の間の隙間が気になる
費用
800,000円
(880,000円税込)
期間
7ヵ月
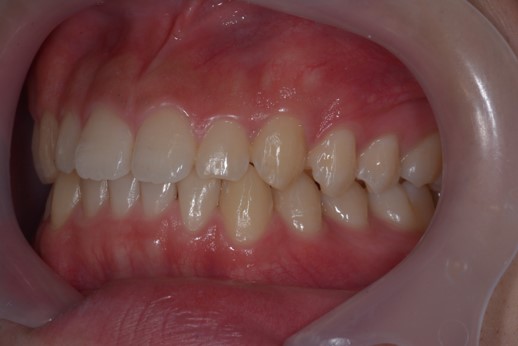
CASE 2
治療前
治療後
年齢/性別
44歳/女性
主訴
前歯で噛めない
費用
800,000円
(880,000円税込)抜歯費用:5,000円×3
期間
1年5カ月
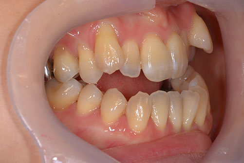
CASE 3
治療前
治療後
年齢/性別
32歳/男性
主訴
咬み合わせが気になる
費用
800,000円
(880,000円税込)抜歯費用:5,000円×2
期間
1年
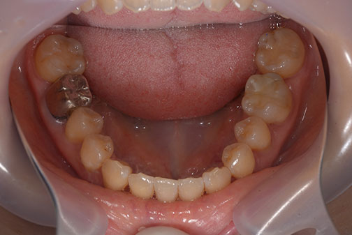
CASE 4
治療前
治療後
年齢/性別
14歳/男性
主訴
歯並びが気になる
費用
800,000円
(880,000円税込)抜歯費用:5,000円×2
期間
1年
リスク・副作用
- ・一人ひとり歯並びやお口の状態が異なるので、インビザラインのみの治療が難しいことがあります。 その場合、部分的にワイヤー矯正を併用することがあります。
- ・インビザラインは1日20時間ほど装置を装着する必要があります。 装着時間が短い場合や、装着を忘れた場合は効果が出にくくなることがあります。
- ・新しい装置に変えてから2~3日は若干の痛みや違和感、話しづらさが出ることがありますが、多くの場合数日でおさまります。(個人差があります)
歯列矯正は高い?
他にかける費用 との 比較

| 1ヶ月 | 1年換算 | 10年換算 | 20年換算 | |
|---|---|---|---|---|
| ジム | 10,000円 | 120,000円 | 1,200,000円 | 2,400,000円 |
| エステ | 15,000円 | 180,000円 | 1,800,000円 | 3,600,000円 |
| 美容院 | 8,000円 | 96,000円 | 960,000円 | 1,920,000円 |
| カフェ | 15,000円 | 180,000円 | 1,800,000円 | 3,600,000円 |
| 歯列矯正 | 3,333円 | 39,996円 | 400,000円 | 800,000円 |
歯の矯正治療の費用は患者様の症状や理想とする歯並び、オプションの有無によっても変動します。お口の健康や見た目の美しさは一生ものです。10年20年と長い目で見るとジム、エステ、美容院など様々な美容費用と比べてもお得になります。もっと身近なところで言えば、毎日のカフェタイムよりも、歯の矯正治療は費用的にお得です。
無料カウンセリング実施中
- 050-1881-4888(本院)
- 050-1881-4889(JR駅前院)
- お問い合わせフォーム
- \矯正歯科医師が直接お答えします/LINEで予約・相談
インビザラインの流れ
インビザラインについてのよくある質問
矯正治療にかかる期間はどれくらいでしょうか?
矯正治療にかかる期間は、患者様のお口の状態や歯並び、装置の装着状況などにより異なります。一般的には1~2年程度が目安です。また、治療完了後は後戻りを防ぐために保定期間があります。そちらも状況をチェックしつつ、1~2年程度行います。患者様ごとに予想される治療期間については、治療計画立案後にご説明させていただきます。
矯正治療中に痛みはありますか?
インビザラインはマウスピースにより少しずつ歯を動かします。そのため、歯を大きく動かすワイヤー矯正のように、歯へ強い力がかかることはありませんので、痛みもほぼありません。また、ワイヤー矯正のように金属部分でお口の中を傷つける恐れもありません。
ただし、痛みの感じ方は個人差があり、数日で慣れることがほとんどです。
矯正治療中、食事制限などはありますか?
お食事の際にはマウスピースを取り外していただきます。そのため、食事に関する制限はなく、普段どおりにお食事を楽しんでいただけます。飲み物については、コーヒーなど色のついたものであれば、マウスピースに色がつく可能性がありますので、取り外してください。水など無色のものであれば装着したままでお飲みいただけます。
虫歯・歯周病などのトラブルは大丈夫ですか?
マウスピース装置は患者様ご自身で取り外し可能です。お食事やブラッシング時には取り外していただきますので、食べかすが装置に詰まったり、装置により磨きにくかったりすることはありません。逆に、装着したままの食事は汚れが付着し、虫歯や歯周病になる恐れがあるのでおやめください。また、取り外してマウスピース装置そのものも清掃できます。口腔環境を衛生的に整えるためにも、毎日きれいにしておきましょう。
金属アレルギーが心配なのですが…
インビザラインは透明なスマートトラックという素材でできています。金属は使っていませんので、金属アレルギーの心配はございません。また、ワイヤー矯正のように破損した金属部分でお口の中を傷つけることもなく、安全に矯正治療を進められます。
話しづらくなることはありますか?
マウスピース装置は薄い素材でできていますので、装着時の違和感はそれほどありません。しかし、治療開始当初は、マウスピースに慣れずに話しにくいと感じる場合もありますが、数日で自然に発音できるようになることがほとんどなので、ご安心ください。
妊娠中でも矯正治療できますか?
インビザラインによる矯正治療は妊娠中でもお受けいただけます。つわり時期などでマウスピースの装着が辛いという場合は、無理せずに外して体調を優先していただいて、調子の良い時に装着していただければ大丈夫です。ただし、長期にマウスピースを装着できない場合は後戻りの心配があります。マウスピースが装着できなくなったなど、問題がありましたらご相談ください。
ホワイトニングも同時にできるって本当ですか?
歯を効率的に動かすためのアタッチメントを装着をした後にホワイトニングを行うと、ムラになることがあるのでアタッチメント装着前の期間、または矯正終了後にすることをお勧めしています。タイミングは担当医へご相談ください。歯並びを整えるとともに、歯を輝く白さにしたいという方はぜひご相談ください。
インビザラインとセラミック、どちらがいいですか?
患者様の歯並びや歯の形、骨格などによっても異なりますが、大きな問題がなければ、基本的にインビザラインでの矯正治療をおすすめしています。
セラミック治療は短期間で歯を白くして、軽度の歯並びなら整えられる治療法です。しかし、健康な歯を削り、その上にセラミックを貼り付けるため、将来的なことを考えるとリスクもあります。
将来の健康的なお口のことを考えると、インビザラインのほうがおすすめです。
年齢に関係なく矯正できますか?
インビザラインによる矯正治療は、年齢に関係なくお受けいただけます。小児における乳歯から永久歯への生え変わりのタイミングや、80歳以上の方でも治療をされる患者様もいらっしゃいますのでお気軽にお問い合わせください。
親知らずは抜きますか?
必ずしも抜かなければならないわけではありません。親知らずが周囲の歯や噛み合わせに影響していたり、虫歯や歯周病になっていたりする場合は抜歯します。歯ぐきに埋まっている、まっすぐ生えているといった場合は、特に問題はありませんので抜歯しません。
また、症例によっては抜歯により歯が動くスペースを確保したり、突出感をなくしたりするために抜歯するケースもあります。事前に患者様のお口の状態やご要望、シミュレーションをして、より適切なご提案をいたします。
マウスピースをなくしたり、壊したりした場合はどうしたらいいですか?
患者様の歯並びのデータは保存されていて、再製作できます。紛失・破損してしまった場合もご安心ください。再製作の際には再び型採りを行うことはありませんが、製作までにはお時間をいただきます。紛失・破損された場合は、なるべく早くご連絡ください。再製作を待つ間、後戻りを防ぐためにも、1つ前の段階のマウスピースを装着していただくこともあります。
マウスピースはどのように洗浄・保管すればいいですか?
マウスピース装置は柔らかい歯ブラシで水洗い、または専用の洗浄剤にて洗浄します。取り外した場合は、装着前に水洗いしていただくと、より快適で衛生的です。また、マウスピースだけでなく、ブラッシングもこまめに行っていただくと虫歯リスクや臭いを防げます。
マウスピースの保管は、一時的にティッシュでくるむなどを行うと、紛失してしまうことがあるので必ず専用のケースをご使用ください。
通院頻度はどれくらいですか?
インビザラインによる矯正治療の開始当初は、取り扱いにも慣れていないので、1ヶ月に1回の通院をお願いしておりますが、治療に慣れてこられましたら2ヶ月に1回程度のペースで通院いただきます。
定期検診は必ず行うのですか?
はい、必ず行います。インビザラインによる矯正治療中の定期検診では、歯が予定通りに移動しているか、マウスピースの微調整、治療における疑問の解消や患者様からのトラブルの報告などを行います。また、虫歯・歯周病の有無を確認や、クリーニングを行ってお口の衛生環境を整えます。スムーズな矯正やお口の健康のためにも、ぜひ定期検診を行いましょう。
料金はどれくらいかかりますか?
患者様の症状により使用するマウスピースの枚数が異なり、料金も変動します。また、お口の状態によっては虫歯・歯周病治療などが必要となるケースもあります。
インビザラインによる矯正治療の費用については、事前に患者様へお伝えしますのでご確認くださいませ。
治療費の支払いは現金だけですか?
現金でのお支払い以外にも、クレジットカードやデンタルローンのご利用が可能です。当院ではデンタルローンに対応しています。お支払いについてご不明点などございましたら、お気軽にご質問ください。
後戻りとはなんですか?
矯正治療により動かした歯が元に戻ってしまうことです。治療完了後、歯はきれいに整いますが、それを支える骨はいまだ安定していません。そのため、動きやすく元の状態に戻ろうとしてしまうのです。後戻りを防ぐためには、リテーナーという装置を取り付けて、歯を固定する保定期間が必要です。
芦屋M&S;
歯科・矯正クリニック
からのご挨拶


健康な歯と健康な人生を
美しい歯並びを手に入れて、素晴らしい人生を手に入れましょう。
芦屋M&S;歯科・矯正クリニックが、矯正治療を通して、患者様の未来を輝かせるお手伝いをいたします。
「歯は一生物」とよく言われますが、永久歯は生え揃ったら一生大切に使い続けなくてはなりません。虫歯になって削ったり失われたりすれば、二度と元に戻ることはないためです。
実は、歯並びも一生物です。見た目や噛み合わせが悪いと、「人前に出るのが怖い」「笑顔になるのが恥ずかしい」とコンプレックスを持ちやすくなります。しかし、治さずそのままであれば、その悪い歯並びと、一生付き合っていかなければならないのです。
生涯付き合うお口だからこそ、健康とともに見た目もしっかり磨きをかけることが大切です。「思いっきり笑顔になりたい」その願いを叶えるための近道、それは矯正治療です。
素晴らしい歯並びを手に入れれば、食事が美味しくなり、会話が楽しくなり、心から思いきり笑顔になることができます。歯の見た目に磨きをかけてきれいにすること、それは人生に輝きを与えるきっかけとなります。矯正治療によって、一人でも多くの患者様が美しい歯並びを手に入れ、素晴らしい人生を歩めるよう、私たちが全力でサポートいたします。
-
理事長
松岡 伸輔
ご縁をいただき、平成15年に当院を開業して以来20年間、芦屋市の近隣地域に住まわれる方々の歯の健康のために奮闘してまいりました。頼れる大勢のスタッフにも恵まれ、これからも芦屋市の大型総合歯科医院として尽力してまいります。モットーは「患者様やスタッフ、そして自分自身も笑顔で」です。
-
副理事長
橋爪 章
マイケル・ジャクソンやマイケル・ジョーダンをこよなく愛する九州男児です。ご存知の方はもしかしたら同世代かもしれません。ぜひ一緒に同世代トークを楽しみましょう。モットーは「昨日より絶えず進歩した自分でいること」です。
-
副理事長
髙橋 英剛
患者様と気さくにお話しながら、リラックスした雰囲気で診療することを心がけています。趣味は広く浅く、カメラ・自転車・ダイビング・ジム通いなど様々あります。モットーは「いつも前向きに、そして何ごとにも積極的に取り組む」です。
-
院長
豊岡 圭輔
学生時代は野球にハンドボールとスポーツ三昧でしたが、最近は歴史巡りがマイブームです。大河ドラマで話題のお城や寺社仏閣を観光しています。患者様が安心できる治療をご提供し、笑顔になっていただけるよう心がけています。
-
副院長
藤川 マミ子
スポーツが大好きで、幼稚園から小学校までサッカーを9年間、大学時代はバスケットボールに夢中でした。「丁寧な治療」をモットーに、相談しやすい雰囲気づくりを心がけ、患者様との信頼や距離感を大切にしています。
-
歯科医師
松本 登子
休日は寺社仏閣巡りや、家庭菜園を楽しんでいます。歯科診療は患者様との信頼関係が大切です。常に明るく笑顔で患者様と接し、気軽にお話できる雰囲気づくりを何より大切にしています。お気軽にお声がけください






























































